The University of Texas MD Anderson Cancer Center and Jazz Pharmaceuticals plc today announced a five-year strategic research collaboration agreement to evaluate zanidatamab, Jazz's investigational HER2-targeted bispecific antibody, in multiple HER2-expressing cancers.
The collaboration will combine MD Anderson's translational medicine and clinical research expertise with Jazz's expanding oncology drug development capabilities to investigate the potential of zanidatamab as monotherapy and in combination with other treatments for patients with different tumor types and stages. This includes its possible applicability in early-stage breast cancer, treatment areas where other HER2-directed therapies have failed, cancers with varying degrees of HER2-expression, and potentially rare, tissue-agnostic cancers.
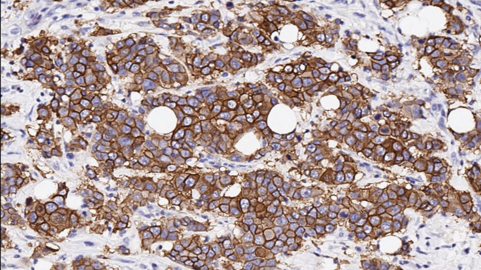
"Current data indicates that zanidatamab has anti-tumor activity in multiple HER2-positive solid tumors, including positive results from a pivotal clinical trial for patients with HER2-amplified biliary tract cancers," said Funda Meric-Bernstam, M.D., chair of Investigational Cancer Therapeutics at MD Anderson. "We are pleased to extend our research efforts with Jazz through this new collaboration, which aims to address significant unmet needs in HER2-expressing solid tumors and to look for safe and effective alternatives to chemotherapy in diseases like early-stage breast cancer."
MD Anderson has been instrumental in researching breakthrough cancer therapies and was a key contributor to early investigations exploring the use of zanidatamab against an actionable target in the treatment of multiple tumor types and the subsequent Phase II HERIZON-BTC-01 trial, which evaluated zanidatamab for patients with treatment-refractory HER2-amplified biliary tract cancers. Results presented at the 2023 American Society of Clinical Oncology (ASCO) Annual Meeting demonstrated durable responses and a confirmed objective response rate of 41%. The presentation was selected for the 2023 Best of ASCO® program.
Jazz and MD Anderson will establish a joint steering committee to oversee the collaboration, which will fund multiple studies over its five-year term. Research under the collaboration is expected to begin in late 2023 or early 2024. This effort builds upon a previous strategic collaboration between Jazz and MD Anderson focused on hematologic malignancies.
"We think zanidatamab has best-in-class potential as a bispecific antibody utilizing biparatopic binding, which results in HER2 signal blockade, as well as immune-mediated cytotoxicity of HER2-expressing cancer cells. Zanidatamab has compelling anti-tumor activity across a broad range of HER2-positive cancers," said Rob Iannone, M.D., executive vice president, global head of research and development at Jazz Pharmaceuticals. "We look forward to continuing to collaborate with MD Anderson to further evaluate zanidatamab's potential to be transformative to the current standard of care in multiple HER2-expressing cancers. We are dedicated to advancing new treatment options for patients and we believe in the power of collaboration to accelerate the pace of research in difficult-to-treat cancers where persistent treatment gaps remain."
