
Researchers at WashU Medicine have identified a potent pathway that begins in the brain and leads to loss of all body fat without reducing food intake.
The study is reported in Nature Metabolism.
The team - led by senior author Erica L. Scheller, DDS, PhD, an associate professor in the Division of Bone and Mineral Diseases in the Department of Medicine; Xiao Zhang, PhD, a former graduate student in Scheller's lab who is now a postdoctoral fellow at the University of Pennsylvania School of Medicine; and Sree Panicker, a graduate student in Scheller's lab - was inspired by a unique population of fat cells located deep within the skeleton.
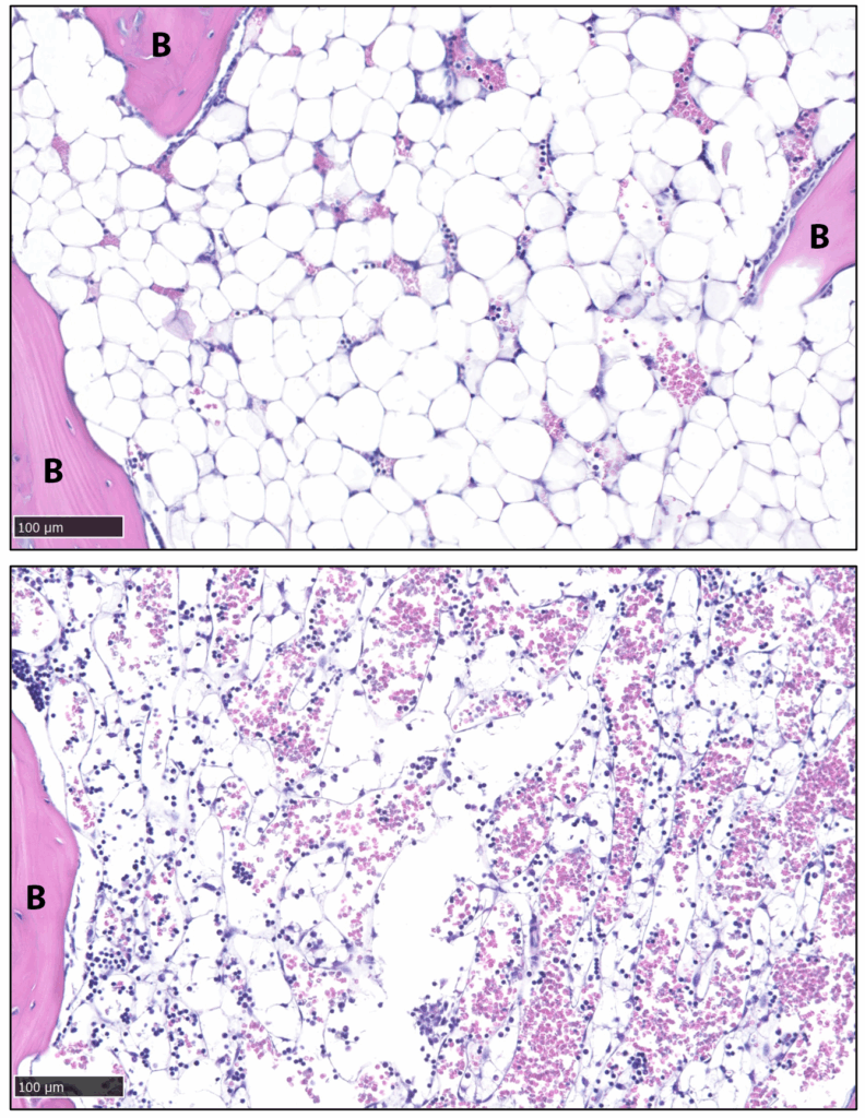
"About 70% of our bone marrow is filled with fat that doesn't respond to diet or exercise," said senior author Scheller. "We wanted to figure out why."

The team found that these special cells, called constitutive bone marrow adipocytes, expressed high levels of proteins that inhibit fat breakdown. This causes resistance to fat loss in day-to-day settings. "We call these cells stable adipocytes," said Zhang, the study's first author. In mice, sustained injection of leptin, a hormone, into the brain was able to unlock the stable adipocytes by putting the body into a state of low glucose and insulin. This reduced the inhibitors of fat breakdown, causing complete loss of body fat within days, even though the mice were still eating normally.
This pathway is so powerful that the scientists caution against using it in humans until it is better understood. Stable adipocytes occur in places like the bone marrow, in the hands and feet, and around important glands. In severe wasting disorders, loss of fat within these cells is associated with bone fractures and reduced quality of life. Scheller's team hopes to prevent this loss and preserve health in patients with severe wasting disorders by defining the mechanisms of stable fat loss. Conversely, methods to activate fat loss from stubborn adipocytes may support future treatments for obesity. This work was funded by the National Institutes of Health (NIH).