Pulmonary fibrosis is a deadly disease in which the lungs become thickened and scarred, gradually losing their ability to deliver oxygen to the body. Now, scientists at UC San Francisco have identified a key cellular switch that drives this process - and found a way to block it in mice.
The new therapy, which appears Oct. 15 in Journal of Clinical Investigation , works by preventing healthy lung cells from converting to a more harmful cell type. In mice with pulmonary fibrosis, the treatment dramatically reduced the amount of scarring in their lungs.
"Pulmonary fibrosis has long been one of the most devastating lung diseases, with very limited treatment options," said Feroz Papa , MD, PhD, a professor of medicine at UCSF and co-senior author of the new paper. "We're excited to have a new molecular target and begin the work to move this closer to clinical trials."
The findings also more broadly shed light on how cells under stress can change their identity in harmful ways - a process relevant not only to pulmonary fibrosis but to other conditions where cells lose their normal function, including diabetes, neurodegeneration, and chronic liver disease.
"This work is the result of many years of basic research on what cell types and molecular pathways are going awry in pulmonary fibrosis," said co-senior author Dean Sheppard , MD, a professor of medicine at UCSF and former chief of the Division of Pulmonary, Critical Care, Allergy and Sleep. "It highlights the importance of fundamental science in leading us to new treatments for diseases that, until now, have seemed untreatable."
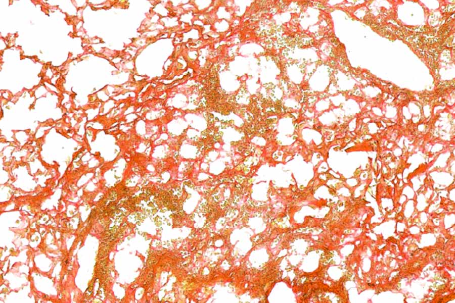
Area of mouse lung with established fibrosis.

Area of mouse lung treated with PAIR2 that shows improvement in fibrosis.

Lung cells off course
Pulmonary fibrosis affects about 1 in 5,000 people, most often striking older adults. The disease can appear without warning or after certain environmental exposures, infections, or chemotherapy. With a median survival period of only about five years after diagnosis, pulmonary fibrosis is as deadly as advanced lung cancer - yet it has far fewer treatment options.
This kind of study really emphasizes the importance of fundamental understanding. Basic research can ultimately move toward the bedside.
Vincent Auyeung, MD, PhD
In recent years, scientists have shown that pulmonary fibrosis is caused by an abnormal repair process in the lungs. Normally, lung cells known as alveolar type 2 (AT2) cells help keep the air sacs healthy and can transform into other cell types to repair damage. But in pulmonary fibrosis, many AT2 cells get stuck halfway through this transformation, creating "in-between" cells that don't function properly and instead release signals that worsen scarring.
In the new work, the UCSF team found that a protein known as IRE1α is directly responsible for pushing AT2 cells into this dangerous limbo. IRE1α normally senses when proteins aren't folding correctly inside cells - one sign that the cells are under abnormal stress. The new study showed that in response to this signal, IRE1α turns on a process called RIDD, in which it shreds certain genetic instructions - like ripping up blueprints - so the cell can't make the corresponding proteins.
One of the genes targeted by RIDD is FGFR2, a receptor that normally tells AT2 cells to hold on to their identity.
"When IRE1α cuts up FGFR2's instructions, the cell loses its bearings," explained Vincent Auyeung , MD, PhD, an assistant professor of medicine at UCSF and first author of the new work. "It stops being the cell it was, but it doesn't become the cell it's supposed to be either. And that transitional state itself drives fibrosis."
In other cells in the body, diseases may be caused by the destruction of other key genetic instructions by the same RIDD process, the team hypothesizes.
A new hope for patients
To test whether blocking IRE1α could help diseased lungs, the researchers turned to a mouse model of pulmonary fibrosis. They treated the mice with PAIR2, a drug designed to selectively block IRE1α's harmful RIDD activity while leaving its normal stress-relief functions intact. PAIR2 is a selective IRE1α kinase inhibitor that was developed by Papa, Bradley Backes, PhD, an associate professor of medicine at UCSF, and Dustin Maly, PhD, a professor of chemistry at the University of Washington. PAIR2 is a type of drug that can be fine-tuned in a "Goldilocks Zone" to control only certain actions of a protein. This allows the team to shut down IRE1α's damaging activity without interfering with its essential everyday role in cells.
"It was important that we didn't completely shut off IRE1α in all the cells of the body, because we don't want to stop its normal, healthy job," Auyeung said. "We only wanted to block the RIDD process."
In mice that already had lung scarring, PAIR2 not only slowed further damage but also partially reversed some of the fibrosis that had formed. The drug helped AT2 cells keep their identity, reduced the number of "in-between" cells, and significantly cut down the buildup of scar tissue.
The results are an encouraging step toward new therapies for human patients, the team said. However, more work is needed to establish the safety, delivery, and efficacy of PAIR2 or similar compounds in people.
"This kind of study really emphasizes the importance of fundamental understanding," said Auyeung. "Basic research can ultimately move toward the bedside.