Weill Cornell Medicine researchers have demonstrated, for the first time, that Hodgkin lymphoma cancer cells from patient samples are immune cells stuck in an "identity crisis."
Normally, a B cell matures into a plasma cell that produces antibodies to fight infection, but in this case, the cells are trapped partway through the transition. They switch off key B cell features but never fully mature into functional plasma cells, instead surviving as malignant Hodgkin lymphoma cells, also called Reed-Sternberg cells.
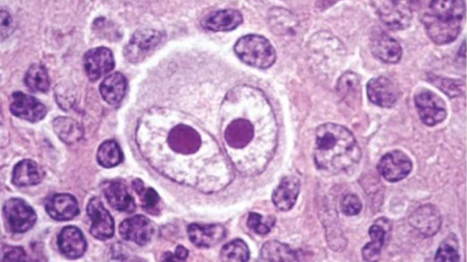
Reed-Sternberg cells, often described as having an "owl eyes" appearance with two nuclei, are a hallmark of Hodgkin lymphoma. These malignant cells are found in the lymph nodes of people with this cancer. Credit: National Cancer Institute
Hodgkin lymphoma is the most common cancer in adolescents aged 15-19 and affects people over 55 years old as well. It typically causes swelling of lymph nodes in the neck, chest, armpits or groin, requiring chemotherapy and radiation treatment for advanced cases.
The findings, published April 22 in Blood Cancer Journal, reframe Hodgkin lymphoma as a cancer of failed cell development, rather than simply uncontrolled growth, and suggest new diagnostic biomarkers to distinguish it from other related non-Hodgkin lymphomas.
"Hodgkin lymphoma cells were assumed to originate from B cells that are in the process of developing the ability to produce immunoglobulins in the germinal center," said Ethel Cesarman, professor of pathology and laboratory medicine and a member of the Sandra and Edward Meyer Cancer Center at Weill Cornell, who co-led this research. "In this study, we now see that they were on the pathway to differentiating into plasma cells and that process has been aborted because they cannot produce immunoglobulins, as normal plasma cells do."
Dr. Lisa Giulino-Roth, director of the Division of Pediatric Hematology-Oncology at New York University Langone Health, previously at Weill Cornell, co-led the research. Dr. Mikhail Roshal, pathologist at Memorial Sloan Kettering Cancer Center, and Isabella Kong, postdoctoral associate in pediatrics at Weill Cornell, are first authors on the paper.
To understand the origins of Hodgkin lymphoma cells, the team analyzed gene expression profiles of 18 primary tumors and four cell lines. They compared data from Hodgkin lymphoma and a rare lymphoma called primary mediastinal B cell lymphoma (PMBL), which have a connection to B cells and develop in the same location in the body. The team noticed that the two lymphomas express different sets of genes with Hodgkin lymphoma cells more closely resembling multiple myeloma, a plasma cell cancer, than other lymphomas.
"Hodgkin lymphoma cells downregulate some proteins, so they are no longer like B cells," Kong said. "In addition, they upregulate other proteins to make them more like plasma cells but not completely functioning as such."
For instance, the team discovered that genes for the unfolded protein response (UPR) pathway were unusually active in the Hodgkin lymphoma cells.
The UPR helps plasma cells handle the stress of churning out many immunoglobulins to fight infections. Since Hodgkin lymphoma cells cannot produce these antibodies, they are under constant internal strain and may be using this stress response as a survival mechanism.
The study also showed a novel way that Hodgkin lymphoma cells evade immune detection. Normally, natural killer (NK) cells, part of the innate immune system, are rapid-response sentinels, scanning cells for specific surface "markers" that signal them to attack. Hodgkin lymphoma cells downregulate a set of markers called SLAM-family ligands, including CD48, so NK cells fail to recognize the tumor as a threat and do not mount an effective attack. The researchers also found that the tumor itself had fewer NK cells, suggesting the cancer cells may actively exclude or repel them from the tumor site.
These cancer cells also evade T cells, part of the adaptive immune response, through other mechanisms, so the tumor can escape both major arms of immune surveillance.
The findings could lead to new diagnostic markers that would help physicians differentiate between Hodgkin lymphoma and other cancers with similar symptoms. For example, the presence of the PDIA6 protein may indicate Hodgkin lymphoma since it is involved in the UPR and specifically upregulated in these cells.
"Ultimately, we need better targeted treatments than chemotherapy, which has long-term side effects," said Cesarman, who's also a pathologist at NewYork-Presbyterian/Weill Cornell Medical Center. "There may be ways to target the UPR selectively to help patients."
This work was supported by the National Institutes of Health, the Tri-I Training Program in Computational Biology and Medicine; the MSK Cancer Center Support Grant/Core Grant; and the Gant Family Foundation.
Many Weill Cornell Medicine physicians and scientists maintain relationships and collaborate with external organizations to foster scientific innovation and provide expert guidance. The institution makes these disclosures public to ensure transparency. For this information, please see the profile for Dr. Ethel Cesarman.
Kate Cottingham is a freelance writer for Weill Cornell Medicine.
