Chronic rejection of transplanted organs is the leading cause of transplant failure, and one that the field of organ transplantation has not overcome in almost six decades since the advent of immunosuppressive drugs enabled the field to flourish.
Now, a new discovery led by researchers at the University of Pittsburgh School of Medicine and Houston Methodist Hospital suggesting the innate immune system can specifically remember foreign cells could pave the way to drugs that lengthen long-term survival of transplanted organs. The findings, based on results in a mouse model, are published today in the journal Science.

The immune system is composed of innate and adaptive branches. The innate immune cells are the first to detect foreign organisms in the body and are required to activate the adaptive immune system. Immunological "memory" — which allows our bodies to remember foreign invaders so they can fight them off quicker in the future — was thought to be unique to the adaptive immune system. Vaccines, for example, take advantage of this feature to provide long-term protection against bacteria or viruses. Unfortunately, this very critical function of the immune system is also why transplanted organs are eventually rejected, even in the presence of immune-suppressing drugs.
In the new study, Lakkis, along with co-senior authors Martin Oberbarnscheidt, M.D., Ph.D., assistant professor of surgery at Pitt, and Xian Li, M.D., Ph.D., director of the Immunobiology & Transplant Science Center at Houston Methodist Hospital, used a genetically modified mouse organ transplant model to show that the innate immune cells, once exposed to a foreign tissue, could remember and initiate an immune response if exposed to that foreign tissue in the future.
"Innate immune cells, such as monocytes and macrophages, have never been thought to have memory," said Oberbarnscheidt. "We found that their capacity to remember foreign tissues is as specific as adaptive immune cells, such as T- cells, which is incredible."

"Knowing exactly how the innate immune system plays a role opens the door to developing very specific drugs, which allows us to move away from broadly immunosuppressive drugs that have significant side effects," said Lakkis.
The finding has implications beyond transplantation, according to Oberbarnscheidt. "A broad range of diseases, including cancer and autoimmune conditions, could benefit from this insight. It changes the way we think about the innate immune system."
A complete list of study authors can be found in the journal article.
The study was supported by National Institutes of Health grants AI145881, AI080779 and AI099465, and the University of Pittsburgh.
IMAGE INFO: (click each for high-res versions)
TOP:
CAPTION: Graph comparing graft survival rates for kidney transplants in 1985 and 2016: Medical advances have helped dramatically lower the rates of acute rejection (within the first year) after transplant but chronic rejection continues to reduce long-term organ survival.
CREDIT: Fadi Lakkis, University of Pittsburgh, data adapted from United States Renal Data System
BOTTOM:
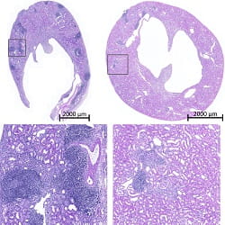
CAPTION: Image of transplanted mouse kidney tissues showing recipient immune cells (blue) in normal (left) but not genetically modified mice (right).
CREDIT: Image adapted from Dai H et al., Science (2020)
/Public Release. This material from the originating organization/author(s) might be of the point-in-time nature, and edited for clarity, style and length. Mirage.News does not take institutional positions or sides, and all views, positions, and conclusions expressed herein are solely those of the author(s).View in full here.